Una sencilla medida preventiva puede marcar la diferencia en la salud bucal de pequeños y adultos. Un ejemplo de ellos es el flúor. A pesar de que muchas personas piensan que el fluor es malo para los dientes, lo cierto es que la fluorización dental es un aliado silencioso pero poderoso: fortalece el esmalte, refuerza los dientes frente a la caries y aporta una protección duradera desde la infancia.
En este artículo te cuento cómo funciona este tratamiento, cuándo conviene aplicarlo y por qué confiar tu sonrisa a la ciencia del flúor puede ahorrarte problemas, molestias y visitas innecesarias al dentista
¿Qué es la fluorización dental?
La fluorización dental es un tratamiento preventivo fundamental para proteger nuestros dientes de las caries. Consiste en la aplicación profesional de flúor directamente sobre la superficie dental, utilizando geles o barnices especiales. El flúor es un mineral que refuerza el esmalte de los dientes, haciéndolo mucho más resistente frente a los ácidos y bacterias que provocan caries, además de ayudar en la reparación de pequeñas lesiones iniciales antes de que se conviertan en caries definitivas.

¿Cuándo está recomendado el tratamiento?
Si bien solemos pensar que la fluorización es solo “cosa de niños”, en realidad cualquier persona con riesgo de caries se puede beneficiar:
- Niños y adolescentes en pleno desarrollo dental.
- Pacientes con tendencia a tener caries, encías delicadas o higiene difícil (por ejemplo, por ortodoncia con brackets).
- Personas con sensibilidad dental, poca saliva o manchas blancas iniciales en los dientes.
En mi clínica dental suelo recomendar la fluorización al menos una vez al año en niños, aunque la frecuencia puede variar según el riesgo individual de caries. En adultos, a veces es útil como refuerzo puntual o durante fases de tratamiento específico.
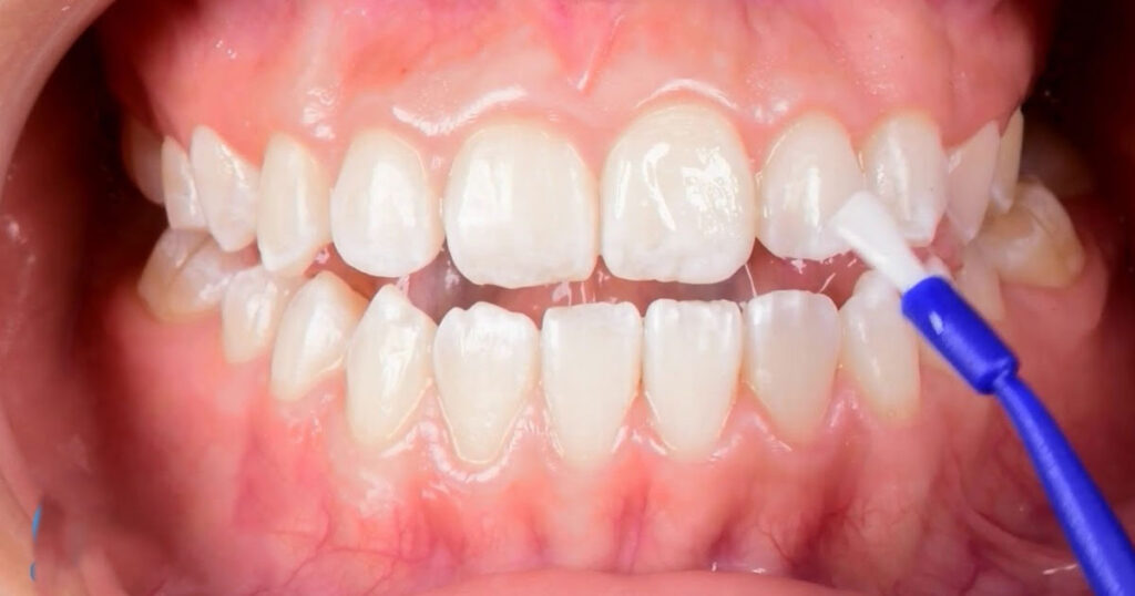
Cómo se realiza la fluorización dental
La fluorización es rápida, cómoda y no duele nada. Tras limpiar bien los dientes en consulta, aplico un gel o barniz de flúor de alta concentración sobre las superficies dentales. Si uso gel, lo coloco en moldes (cubetas) adaptadas a la boca del paciente, que se llevan durante unos minutos. El barniz, en cambio, se aplica con un pincel y resulta ideal para niños pequeños, porque es rápido y seguro.
Tras el tratamiento, siempre recomiendo no comer ni beber nada durante una hora para asegurar una absorción óptima del flúor.
Beneficios del flúor para la salud dental
Como he mencionado al principio del artículo, aplicar flúor tiene beneficios para salud bucodental:
- Protege de las caries infantil y refuerza el esmalte.
- Favorece la remineralización, es decir, ayuda a reparar los dientes en fases tempranas antes de que empiece la caries.
- Puede reducir la sensibilidad dental.
- En niños que llevan ortodoncia, es una barrera extra frente a placas de difícil acceso.
¿Hay algún riesgo por aplicar flúor en los dientes?
Como todo en salud, la clave está en el equilibrio. Usado correctamente y bajo control profesional, el flúor es seguro y efectivo. Los problemas pueden aparecer solo con la ingesta excesiva y prolongada, sobre todo en la infancia (manchas en los dientes conocidas como fluorosis dental), pero eso no sucede con los protocolos que seguimos en clínica.
Por ello, siempre insisto: déjate guiar por tu odontóloga y evita los enjuagues y geles con flúor extra sin consejo profesional, especialmente en niños pequeños.
La fluorización dental es un tratamiento muy sencillo que puede evitar complicaciones en el futuro. Tener los dientes sanos y fuertes es fundamental para un desarrollo saludable, y eso es lo que trabajamos en nuestra servicio de odontopediatría en Hortaleza, Madrid. Si quieres saber más sobre cómo cuidar la salud bucodental de tus peques reserva ahora tu cita estaré encantada de conoceros.

La doctora Sara Hawkins es licenciada en odontología y ortodoncista de categoría Invisalign Diamond Provider. Actualmente es directora médica en Clínica dental CeoDent en el Barrio de Hortaleza de Madrid donde atiende consultas privadas. La doctora es Miembro de la Sociedad Española de Ortodoncia y la Asociación Española de Especialistas en Ortodoncia. Sara es una apasionada de su trabajo, y se mantiene constantemente actualizada en su campo para ofrecer un servicio odontológico de primer nivel.

