La mordida cruzada es una de las maloclusiones más habituales que afectan tanto a niños como adultos. Como cualquier problema de oclusión, sus efectos para la salud son muy negativos, y pueden marcar el desarrollo durante la infancia, por lo que es muy importante identificarla y tratarla a tiempo.
En este artículo te cuento en qué consiste esta maloclusión y cuál es el tratamiento más efectivo para corregirla.
Qué es la mordida cruzada y por qué aparece
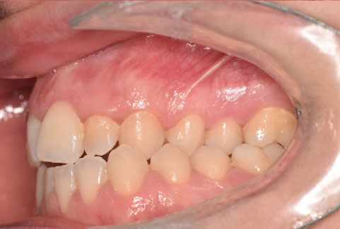
La mordida cruzada es una forma de maloclusión, es decir, un encaje dental inadecuado. Se produce cuando, al morder, algunos dientes superiores quedan por dentro de los inferiores, cuando lo normal sería justo lo contrario: la boca es como una caja de zapatos (los dientes de abajo son la caja y los de arriba la tapa). Puede afectar solo a un lado de la boca (unilateral) o a ambos (bilateral), y se observa tanto en los dientes anteriores como en los molares posteriores.

Las causas más habituales son una combinación de factores genéticos, crecimiento desigual de los maxilares, y hábitos infantiles como la succión del dedo, el uso prolongado del chupete, o respirar siempre por la boca. Incluso perder dientes de leche antes de tiempo o no tratar ciertas infecciones puede favorecer su aparición.
Consecuencias de no tratar la mordida cruzada
No debemos ver la mordida cruzada solo como un problema estético. A largo plazo puede provocar: dificultad al masticar, desgaste desigual y acelerado de los dientes, molestias en la articulación temporomandibular (ATM), dolores de cabeza, e incluso asimetría facial.
En niños, si el maxilar no crece bien, el rostro puede irse desviando, generando asimetría facial, y luego la solución será más compleja. Por eso, el diagnóstico precoz es fundamental: es mucho más sencillo corregir la maloclusión durante la infancia, cuando los huesos aún están en desarrollo.

Cómo detectar la mordida cruzada
Algunas de las señales y síntomas más comunes que observamos en la clínica son:
- Al cerrar la boca, hay dientes superiores claramente por dentro de los inferiores.
- El paciente tiende a mover la mandíbula hacia un lado para masticar mejor.
- Aparece desgaste más marcado en algunas piezas o dificultad al morder ciertos alimentos.
- Puede haber sensación de chasquido o dolor en la mandíbula, e incluso dolores de cabeza que no se explican por otras causas.
Tratamiento de la mordida cruzada
La única manera de corregir una mordida cruzada es con un tratamiento de ortodoncia realizado por un profesional. Los alineadores dentales vendidos por internet no pueden corregir estos problemas en pocos meses, ya que se requieren movimientos más avanzados y reposición de todas las piezas hasta asegurar que la salud y oclusión es correcta, y no se compromete la salud de otros tejidos.
Antes de comenzar, realizados un estudio de ortodoncia en clínica: exploramos la boca, realizamos estudios radiológicos y, si es necesario, utilizamos el articulador con modelos 3D digitales. De este modo, identificamos la causa y el tipo preciso de mordida cruzada, lo que nos orientará sobre el mejor tratamiento para cada paciente, adaptándolo a su edad y situación concreta.
Según el nivel de maloclusión y edad del paciente, podemos adoptar diferentes soluciones:
- En niños (6-12 años): Utilizamos aparatos de ortopedia y expansores palatinos. Aprovechar el crecimiento facilita mucho la corrección y evita problemas futuros. A veces, solo con corregir hábitos y estimular el desarrollo adecuado, podemos evitar tratamientos más complejos en el futuro. De hecho, con técnicas innovadoras como la RNO, podemos adelantarnos a los primeros síntomas de la maloclusión y reorientar el crecimiento del paciente para evitar el uso de aparatos de ortodoncia.
- En adolescentes y adultos jóvenes: Tratamos la mordida cruzada con ortodoncia fija (brackets) o sistemas modernos como alineadores transparentes. Cuando la mordida cruzada tiene origen óseo y el paladar está fusionado, podemos recurrir a disyuntores anclados con microtornillos, evitando muchas veces la cirugía.
- En adultos: Si la maloclusión es severa (sobre todo de origen óseo), la cirugía ortognática combinada con ortodoncia puede ser necesaria para equilibrar los maxilares. En casos menos graves, la ortodoncia convencional y los alineadores siguen siendo opciones seguras y efectivas para alinear los dientes.
Cómo prevenir la mordida cruzada
Como profesional, siempre insisto en la prevención. Desde casa, podemos contribuir a un desarrollo saludable de los peques con pequeñas acciones que pueden marcar una gran diferencia en su futuro:
- Fomentar la respiración nasal y evitar el uso prologando de chupete o succión del dedo.
- Cuidar la higiene, evitando la pérdida prematura de dientes de leche.
- Acudir a revisiones periódicas desde la infancia, incluso aunque no haya molestias evidentes.
- Tratar precozmente problemas respiratorios y estimular hábitos orales saludables en casa.
Me gusta recordar a padres y pacientes que la mordida cruzada diagnosticada y tratada a tiempo no deja huella. Hoy día contamos con muchas alternativas cómodas, seguras y eficaces. En CEODENT trabajamos con tecnología de vanguardia y un trato personal de confianza para que cada sonrisa llegue a su mejor versión, sin dolor y con la máxima funcionalidad.
Si tienes dudas, detectas alguna alteración en la mordida, o simplemente quieres asegurarte de que tu hijo tiene un desarrollo bucal correcto, no dudes en venir a consulta. Una valoración a tiempo puede ahorrar muchas complicaciones futuras y asegurar la salud de tus dientes y tu bienestar general.

La doctora Sara Hawkins es licenciada en odontología y ortodoncista de categoría Invisalign Diamond Provider. Actualmente es directora médica en Clínica dental CeoDent en el Barrio de Hortaleza de Madrid donde atiende consultas privadas. La doctora es Miembro de la Sociedad Española de Ortodoncia y la Asociación Española de Especialistas en Ortodoncia. Sara es una apasionada de su trabajo, y se mantiene constantemente actualizada en su campo para ofrecer un servicio odontológico de primer nivel.

