La caries dental suele pasar desapercibida hasta que ya es demasiado tarde. Muchas veces no notamos nada hasta que aparece un agujero visible o un dolor intenso que nos obliga a ir al dentista de urgencia. Pero si aprende a reconocer sus primeras señales —cuando aún es pequeña, silenciosa y fácil de tratar—, podemos evitar complicaciones mayores. Soy la doctora Sara Hawkins, y hoy te explico cómo identificar una caries a tiempo para proteger tu sonrisa.
¿Qué es una caries dental?
Una caries es una lesión en el diente causada por bacterias que se alimentan de los azúcares de nuestra dieta. Al metabolizarlos, producen ácidos que van debilitando el esmalte poco a poco. Primero se pierde mineral, después aparece una pequeña mancha… y, si no se trata, llega el agujero visible.
Lo importante es entender que la caries no aparece de la noche a la mañana: es un proceso gradual. Y ahí está la buena noticia: si la detectamos a tiempo, podemos detenerla o tratarla de forma mínimamente invasiva, sin alterar apenas el diente.

Cómo identificar una caries dental
Primeras señales
En los inicios, la caries es silenciosa. No duele, no molesta y puede pasar meses sin que notes nada. Lo que sí puedes observar es:
- Manchas blancas opacas cerca de la encía: indican pérdida de minerales.
- Cambios de color localizados (amarillo, marrón o grisáceo).
- Sensación de rugosidad al pasar la lengua por un punto concreto.
Y ¿cómo sé si es solo una mancha o una caries? La única forma fiable de saberlo es con una exploración clínica y, a veces, una radiografía. Por eso insisto tanto en las revisiones dentales periódicas: ir al dentista cuando todo parece ir bien es el mejor truco para evitar problemas más grandes.
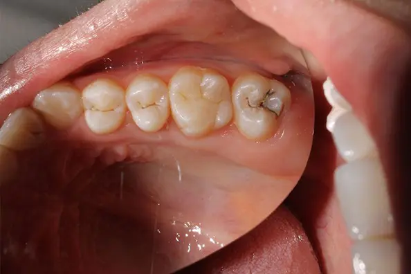
Síntomas visibles
En cuanto la caries supera el esmalte y llega a la dentina, el diente comienza a doler. En este punto puede que notes:
- Sensibilidad puntual al frío, al calor o a lo dulce, así como sensibilidad dental constante.
- Molestias al masticar, sobre todo en una muela concreta.
- Manchas oscuras o pequeños agujeros que notas con la lengua.
- Mal aliento o un sabor extraño persistente.
Si el dolor aparece solo o se vuelve intenso y duradero, probablemente ya hay afectación del nervio. En esas fases, los tratamientos se complican: podemos necesitar una endodoncia o una reconstrucción más profunda. Por eso mi lema es siempre el mismo: detectar la caries antes de que duela.
Cómo identificar una caries dental en niños
En niños también pasa. Durante el desarrollo de la dentición infantil las caries pueden avanzar rápido y sin dolor. A veces los padres se sorprenden cuando les muestro manchas blanquecinas o marrones en dientes de leche, o cuando el niño evita morder con cierta muela.
Por eso recomiendo no esperar. Tenemos recursos dedicados a familias, como el artículo “Mi hijo tiene caries” y nuestra guía sobre “caries en dientes de leche”, donde explico paso a paso cómo actuar.
Caries rampante: cuando el problema acelera
En los más pequeños, también veo con frecuencia la llamada caries del biberón. Aparece cuando los dientes se exponen de forma continuada a líquidos azucarados o zumos, especialmente de noche. El resultado es una caries agresiva que afecta varios dientes de leche.
Si notas manchas marrones cerca de la encía o tu hijo evita morder, te recomiendo leer mi artículo sobre caries rampante para entender cómo prevenirla.
Cómo tratamos la caries dental
Cada caso requiere un enfoque distinto, pero en general:
- En lesiones iniciales: reforzamos la remineralización con flúor y selladores, junto con mejoras en higiene y dieta.
- En caries moderadas: eliminamos el tejido afectado y restauramos el diente con composites estéticos mediante empastes y reconstrucciones.
- En caries profundas: valoramos si hay afectación pulpar. En adultos, puede ser necesaria una endodoncia; en niños, una pulpotomía o pulpectomía.
En esta página sobre caries dental y su tratamiento explico en detalle cada opción y cómo decidimos juntos la mejor para ti.
Tratamiento de la caries dental en Madrid
Si sospechas que puedes tener una caries, lo mejor es no dejarlo pasar. Cuanto antes la revisemos, más sencillo, rápido y cómodo suele ser el tratamiento.
En CeoDent apostamos por la prevención y por ayudar a cada paciente a entender la importancia de mantener una buena salud bucodental antes de que aparezcan molestias mayores.
Para ello, contamos con tecnología de diagnóstico digital, como el escáner intraoral, y con equipamiento clínico avanzado, como las lupas de magnificación, que nos permiten detectar lesiones que no siempre son visibles a simple vista, incluidas las caries interproximales.
Además, complementamos la revisión con radiografías y fotografías clínicas para valorar cada caso con precisión y elegir la mejor opción de tratamiento. Te espero en CeoDent para ayudarte a cuidar tu sonrisa con calma, confianza y la atención personalizada que mereces.

La doctora Sara Hawkins es licenciada en odontología y ortodoncista de categoría Invisalign Diamond Provider. Actualmente es directora médica en Clínica dental CeoDent en el Barrio de Hortaleza de Madrid donde atiende consultas privadas. La doctora es Miembro de la Sociedad Española de Ortodoncia y la Asociación Española de Especialistas en Ortodoncia. Sara es una apasionada de su trabajo, y se mantiene constantemente actualizada en su campo para ofrecer un servicio odontológico de primer nivel.

